Discovery of a New Pathology for Spinal Hypertrophic Pachymeningitis Caused by Vasculitides, Designated an Intractable Disease by the Ministry of Health, Labor and Welfare, Japan: A Path to Therapy
March 31, 2025
A research group led by Assistant Professor NAKAJIMA Akihiro of the Department of Neurology, Brain Research Institute, Niigata University and Associate Professor KAWACHI Izumi of the Graduate School of Medical and Dental Sciences, Niigata University, has discovered for the first time in the world the clinical characteristics, immunopathologies, treatments, and long-term prognosis of spinal hypertrophic pachymeningitis that occurs in microscopic polyangiitis (MPA) and granulomatosis with polyangiitis (GPA). These diseases are vasculitides associated with antineutrophil cytoplasmic antibodies (ANCA) and are designated by the Ministry of Health, Labor, and Welfare as intractable diseases in Japan.
The research was conducted in the Brain Research Institute (Departments of Neurology and Pathology), Niigata University, and Niigata University and Graduate School of Medical and Dental Sciences, Niigata University as core hubs, in collaboration with Shinshu University, Teikyo University, Kitasato University, University of Occupational and Environmental Health, Niigata University of Health and Welfare, and the NHO Niigata Hospital, in Japan. This research was published in the online version of ‘Neurology’ (IF 8.4) (5-year IF 9.0), the official journal of the American Academy of Neurology (AAN), on March 19, 2025.
Key points
- Spinal hypertrophic pachymeningitis, an inflammation of the dura mater that covers the spinal cord, is highly likely to have myeloperoxidase (MPO)-positive anti-neutrophil cytoplasmic antibodies (ANCA) that are designated as an intractable disease by the Ministry of Health, Labor and Welfare in Japan.
- Compared with cranial hypertrophic pachymeningitis, in which inflammation occurs in the dura mater that covers the brain, spinal hypertrophic pachymeningitis has a higher disease activity (Nervous System, Birmingham Vasculitis Activity Score) of ANCA-associated vasculitides.
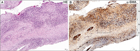
- The thickened spinal dura forms three layers, that is, the middle fibrous meningeal layer and the 2 outer and inner inflammatory layers containing a large amount of granulomatous inflammation and myofibroblasts. The increase in the thickened dura mater places pressure on the spinal cord, resulting in a high probability of myelopathy. These pathological structures including granulomatous inflammations are homologous to those in other organs affected by ANCA-associated vasculitides (Figs. 1 and 2).
- For spinal hypertrophic pachymeningitis with MPO-ANCA, 1) prompt surgical decompression (laminectomy and duraplasty) and 2) immunosuppressive therapy to induce and maintain remission (a treatment with high-dose glucocorticoids in combination with either cyclophosphamide or rituximab) are recommended.

[Figure 1] Pathological images of MPO-ANCA-positive spinal hypertrophic pachymeningitis. The thickened spinal dura mater had abundant granulomatous inflammation and α-smooth muscle actin (SMA)-positive myofibroblasts in the outer (a, outer dural border layer) and inner (c, inner dural border cell layer) layers. The middle layer (b, the original meningeal layer) was less susceptible to inflammation. Thus, the pathological images of MPO-ANCA-positive spinal hypertrophic pachymeningitis showed a characteristic three-layer structure. (Image taken from Nakajima A, et al. Neurology 2025).

[Figure 2] A pathological hypothesis based on this research. Under healthy conditions (right side of the figure), the dura contains fibroblasts, tissue-resident immune cells including border-associated macrophages, blood vessels, and lymphatic vessels, forming the dura-associated lymphoid tissue (DALT), which has an immune environment different from that of the systemic blood circulation. It has a blood-cerebrospinal fluids (CSF) barrier formed by an arachnoid barrier cell layer (ABC layer) that has dense tight junctions.
In MPO-ANCA-positive spinal hypertrophic pachymeningitis (left side of the figure), the outer and inner layers of the dura are characterized by the proliferation of α-SMA-positive myofibroblasts as well as the formation of granulomatous inflammation, vasculitis, and B-cell follicle-like structures. The expansion of these inflammatory foci compresses the spinal cord, causing extramedullary myelopathy, and the spinal cord parenchyma is not directly affected by inflammation. The inflammatory focus spreads to the surrounding vertebral columns.
In recent years, advances in experimental animal studies using two-photon intravital imaging have revealed that the bone marrow and dura mater of the skull and vertebrae are connected via microvessels, enabling the migration of bone marrow cells and immune cells. Pathological findings obtained in spinal hypertrophic pachymeningitis support the following: 1) the ABC layer functions as a morphological and physiologic ‘blood-CSF barrier’ between the CSF in the subarachnoid space and the blood circulation in the dura, except for arachnoid cuff exit (ACE) points (a recently discovered passageway between the dura and subarachnoid space), and 2) the bone marrow and dura mater allow inflammatory cells to migrate through microvessels. This suggests important insights into understanding the immune function and pathology of the dura in the central nervous system. (Image taken from Nakajima A, et al. Neurology 2025).
Publication Details
Journal: Neurology
Title: Long-term clinical landscapes of spinal hypertrophic pachymeningitis with anti-neutrophil cytoplasmic antibody-associated vasculitis
Authors:Akihiro Nakajima, Mariko Hokari, Fumihiro Yanagimura, Etsuji Saji, Hiroshi Shimizu, Yasuko Toyoshima, Kaori Yanagawa, Musashi Arakawa, Akiko Yokoseki, Takahiro Wakasugi, Kouichirou Okamoto, Kei Watanabe, Keitaro Minato, Yutaka Otsu, Yukiko Nozawa, Daisuke Kobayashi, Kazuhiro Sanpei, Hirotoshi Kikuchi, Shunsei Hirohata, Kazuaki Awamori, Aya Nawata, Mitsunori Yamada, Hitoshi Takahashi, Masatoyo Nishizawa, Hironaka Igarashi, Noboru Sato, Akiyoshi Kakita, Osamu Onodera, Izumi Kawachi*
(*, correspondence)
Doi: 10.1212/WNL.0000000000213420
More News
-
Prospective study on clinical utility of plasma p-Tau217 and other biomarkers in Japanese memory clinics using the LUMIPULSE platform
Research results
-
Hidden Acid Imbalance in Kidney Disease Raises Red Flags
Research results
-
Evaluation of plasma p-tau217 biomarkers in detecting amyloid pathology and predicting cognitive outcomes: Observations from Japanese Alzheimer's disease neuroimaging initiative cohort
Research results
-
From surface to depth: 3D imaging traces vascular amyloid spread in the human brain
Research results